В Японии приступили к следующему этапу испытаний средства, которое помогает вырастить зубы.

Препарат придумали специалисты из Медицинского института Китано, расположенного в Осаке, сообщает AFP.
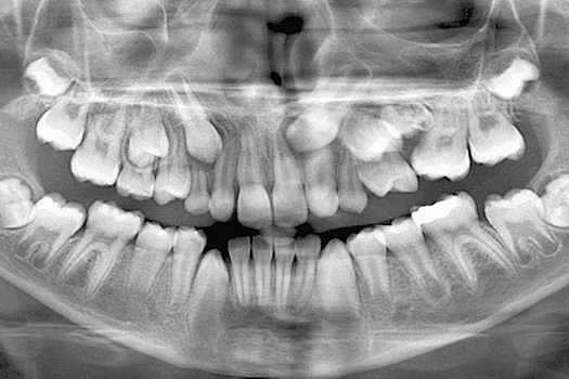
К активным исследованиям препарата ученые приступили прошлой осенью. Тогда испытания прошли на детях, у которых из-за врожденных аномалий нет зубов.
Сейчас средство хотят испытать на взрослых в возрасте 30-64 года. Ученые заявили, что под деснами скрыты зачатки третьего набора зубов. Как раз на их «пробуждение» и рассчитывают специалисты.
Исследование, проворимое с участием животных, показало, что такое возможно, если блокировать белок USAG-1. В результате ученым удалось вырастить новые зубы мышам и хорькам.
Ожидается, что новый препарат, прежде всего ориентированный на детей, может быть доступен к 2030 году.
Ранее ученые вернули к жизни выяершего пиренейского козла букардо. Также ученые доказали, что мозг продолжает свою работу даже после остановки сердца.

