Ученые МГУ впервые показали, что с помощью ультразвука можно без нагрева и разрезов разрушать один из типов опухоли. Речь идет о лейомиосаркоме — агрессивной злокачественной саркоме мягких тканей.

Сейчас стандартом лечения является хирургическое удаление такой опухоли, иногда в сочетании с лучевой и химиотерапией. Однако далеко не все пациенты могут перенести такой способ, а в неоперабельных случаях пациентам оказывается лишь паллиативная помощь. Поэтому ученые ведущих центров мира ищут новые, щадящие и эффективные методы лечения лейомиосаркомы.
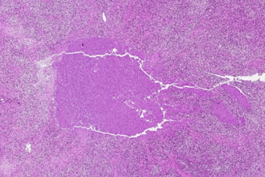
«Суть разработанной нами технологии заключается в фокусировке последовательности высокоамплитудных ультразвуковых импульсов миллисекундной длительности через здоровые ткани пациента на патологическую область, которая разрушается не за счет ультразвукового нагрева, а механически "перемалывается" в бесструктурную суспензию, не повреждая при этом здоровые ткани. Весь процесс можно контролировать с помощью диагностических аппаратов УЗИ», — объясняет один из авторов работы Вера Хохлова.
Проведенный после такого воздействия ультразвуком анализ подтвердил, что опухолевые клетки разрушились полностью. По словам авторов, полученные результаты открывают путь к разработке неинвазивных методов локального лечения сарком, особенно в случаях, когда хирургическая операция невозможна.

